![]() |
| Un estudio confirma la enfermedad de la ni?a que nació embarazada' |
Fuente:agencias
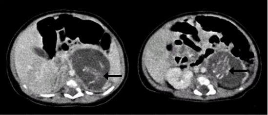
Hong Kong,11/02/2015(El Pueblo en Línea)-El caso de la menor que nació embarazada de gemelos en un hospital de Hong Kong en 2010 no fue más que un caso doble de fetus-in-fetu una enfermedad que se registra en uno de cada medio millón de nacimientos y que no es más que la aparición de fetos no desarrollados en forma de tumor en alguna parte de la anatomía de un recién nacido. En el caso de la menor de Hong Kong, ambos fetos se presentaban en el abdomen.
En un informe presentado por el doctor Yu Kai-man, del hospital Queen Elizabeth de Hong Kong, los especialistas concluyen que las dos masas que presentaba la ni?a en el abdomen eran dos fetos gemelos con un peso de 14,2 gramos y 9,3 gramos respectivamente después de 8 a 10 semanas de gestación. Ambos estaban unidos por el cordón umbilical al abdomen de la menor. Se trata de dos fetos de un embarazo múltiple que no llegaron a desarrollarse y que fueron absorbidos por el feto sano durante su desarrollo en la matriz.
El informe concluye que esta anomalía fue imposible de detectar en el control prenatal dado el reducido tama?o de los fetos.
Empresa editorial china debuta en Times Square
?Qué se siente al viajar a la China de hace 30 a?os?
Palabras claves de la visita del primer ministro Li Keqiang a América Latina
Gran fervor de iniciativa empresarial en las zonas pobres gracias a "Internet plus"
Las 10 principales marcas de baijiu chino
Los 9 dispositivos para usar con smartphones más populares
Los 10 restaurantes más caros de Pekín en 2015
Brad Pitt es bisexual,
según ?Star?
La Barbie rusa compite con la Barbie humana


