
Dise?an un ovario ‘artificial’ para combatir los efectos de la menopausia
Nueva York, 07/12/2017 (El Pueblo en Línea) -Científicos en Estados Unidos han aplicado en ratones uno nuevo tratamiento alternativo a la terapia hormonal sustitutiva, según revela un estudio publicado hoy por la revista Nature. La investigación, liderada por la Escuela de Medicina Wake Forest (Carolina del Norte), podría abrir nuevas vías para el tratamiento de la menopausia en mujeres y el impacto de algunos tipos de cáncer en los ovarios, destacan los autores.
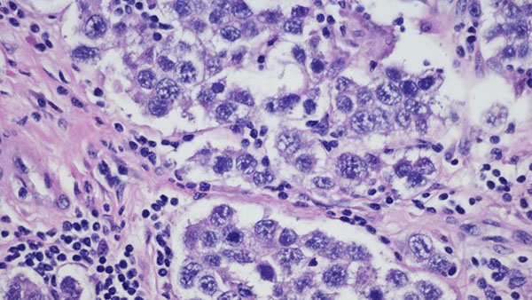
Esta técnica, probaba en ratas de laboratorio, recurre a la bioingeniería para dise?ar ovarios tridimensionales y regular así la administración de hormonas sexuales, como hace la tradicional terapia de reemplazo hormonal (TRH), si bien logra reducir los efectos secundarios adversos.
La TRH, recuerdan los expertos, no solo es efectiva para mujeres con menopausia, sino que también se aplica a pacientes cuyos ovarios se ven afectados por el cáncer.
No obstante, los profesionales consideran que sus efectos secundarios negativos superan a los positivos, por lo que es necesario sustituir este tratamiento farmacológico por otro basado en la terapia celular.
A nivel fisiológico, sostienen, las células pueden secretar más de un tipo de hormonas, al tiempo que pueden enviar se?ales al cerebro para imitar el funcionamiento de ovarios sanos.
Sillitas para esperar el autobús,
la última invención en una economía compartida
Se filtra por error el sexto episodio
de ?Juego de Tronos?
Un robot monje aprende a hablar inglés
Se estrena el documental
sobre “mujeres de consuelo” de China
57 universidades chinas
entre las 500 mejores del mundo
Las 10 cadenas hoteleras
más grandes del mundo
?Cuánto paga un residente extranjero
por un alquiler en Beijing?
Un graduado de Tsinghua convierte
la cría del esturión cuchara en una mina de oro
La dedicación de una ni?a
al arte de la ópera de Pekín


