
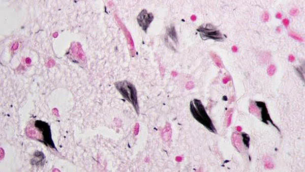
Ovillos neurofibrilares de proteína tau en el hipocampo de un paciente con alzhéimer - WIKIMEDIA
Houston, EE.UU., 11/06/2018 (El Pueblo en Línea) - El alzhéimer es una enfermedad neurodegenerativa, es decir, causada por una destrucción progresiva de las neuronas cerebrales. Una enfermedad que, según han sugerido infinidad de estudios, se origina por la acumulación en el cerebro de placas de proteína beta-amiloide, altamente tóxicas para las neuronas. Sin embargo, las pruebas de imagen cerebrales han revelado que un gran número de personas cuyos cerebros portan una gran cantidad de estas placas no acaban padeciendo alzhéimer. Por tanto, parece que el origen de la enfermedad no puede explicarse por la presencia de placas de beta-amiloide. Debe haber algo más. Y según otras muchas investigaciones, este ‘algo más’ sería la proteína tau. Y ahora, investigadores de la Facultad de Medicina de la Universidad de Baylor en Houston (EE.UU.) han confirmado que, efectivamente, la proteína tau se encuentra detrás de la aparición del alzhéimer y, lo que es más importante, han descubierto el porqué, según ABC.
Concretamente, el estudio, publicado en la revista ?Cell Reports?, muestra que la proteína tau altera la actividad de unas secuencias del ADN celular denominadas ‘transposones’, lo que provoca una inestabilidad genómica en las neuronas y, en último término, la degeneración y muerte neuronal.
Como explica Joshua Shulman, director de la investigación, ?la inestabilidad genómica hace referencia a una mayor tendencia a presentar alteraciones en el material genético, o lo que es lo mismo, en el ADN, caso de las mutaciones. El resultado es que el genoma no funciona correctamente. De hecho, ya se sabe que la inestabilidad genómica supone uno de los principales desencadenantes de enfermedades como el cáncer. Así, en nuestro trabajo hemos analizado la posible conexión causal entre la acumulación de proteína tau en las neuronas y la consecuente inestabilidad genómica en la enfermedad de Alzheimer?.
Sillitas para esperar el autobús,
la última invención en una economía compartida
Se filtra por error el sexto episodio
de ?Juego de Tronos?
Un robot monje aprende a hablar inglés
Se estrena el documental
sobre “mujeres de consuelo” de China
57 universidades chinas
entre las 500 mejores del mundo
Las 10 cadenas hoteleras
más grandes del mundo
?Cuánto paga un residente extranjero
por un alquiler en Beijing?
Un graduado de Tsinghua convierte
la cría del esturión cuchara en una mina de oro
La dedicación de una ni?a
al arte de la ópera de Pekín


