
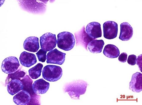
Células de leucemia LLM-AF9 - CCHMC
Cincinnati, EE.UU., 12/07/2018 (El Pueblo en Línea) - La leucemia mieloide aguda (LMA) es un tipo de cáncer de la sangre que, causado por una maduración incorrecta de las células madre de la médula ósea que dan lugar a los glóbulos blancos –concretamente, a los leucocitos denominados ‘granulocitos’–, representa hasta un 40% de todos los casos de leucemia que se producen en el mundo occidental. Un tipo de leucemia que, prácticamente exclusivo de los adultos, resulta mortal a los cinco a?os del diagnóstico en hasta un 90% de los mayores de 65 a?os. Y es que si bien la quimioterapia inicial es eficaz para erradicar la enfermedad, la LMA vuelve a aparecer en hasta dos terceras partes de los casos, por lo general con un pronóstico fatal. En consecuencia, es necesario encontrar fármacos más ‘potentes’. Y en este contexto, investigadores del Centro Médico del Hospital Infantil de Cincinnati (EE.UU.) parecen haber hallado una molécula que, combinada con los tratamientos ya disponibles, resulta muy eficaz a la hora de destruir definitivamente las células de la LMA. O así sucede, cuando menos, en modelos animales –ratones, según ABC.
Como explica H. Leighton Grimes, director de esta investigación publicada en la revista ?Journal of Experimental Medicine?, ?nuestro trabajo ofrece una mirada sobre la función de los programas genéticos y moleculares que desencadenan este tipo de leucemia y explota esos procesos para identificar nuevas dianas terapéuticas?.
La razón por la que este tipo de leucemia reaparece tras ser inicialmente ‘curada’ se explica porque los fármacos disponibles, si bien muy eficaces a la hora de eliminar a las células cancerígenas, no pueden acabar con las células madre de la LMA. Así, y una vez concluido el tratamiento, estas células madre darán lugar a nuevas células cancerígenas, con lo que la enfermedad volverá a ‘resurgir’. Por tanto, el objetivo parece claro: hay que destruir, como sea, estas células madre. Y para ello, primero hay que identificar –y desmantelar– los procesos genéticos y moleculares que inducen la transformación de las células madre de la LMA en células cancerígenas.
Los autores utilizaron un modelo animal –ratones– al que ‘trasplantaron’ células de LMA –otra vez, de LLM-AF9– humanas. Y tras provocarles la leucemia, le administraron la quimioterapia convencional para la enfermedad y una molécula experimental que, bautizada como ‘SLZ P1041’, es capaz de inhibir la enzima Skp2 en las células de leucemia humanas. ?Y qué pasó? Pues que gracias a la adición del fármaco experimental, las células de la leucemia murieron y fueron reemplazadas por granulocitos completamente ‘sanos’.
Sillitas para esperar el autobús,
la última invención en una economía compartida
Se filtra por error el sexto episodio
de ?Juego de Tronos?
Un robot monje aprende a hablar inglés
Se estrena el documental
sobre “mujeres de consuelo” de China
57 universidades chinas
entre las 500 mejores del mundo
Las 10 cadenas hoteleras
más grandes del mundo
?Cuánto paga un residente extranjero
por un alquiler en Beijing?
Un graduado de Tsinghua convierte
la cría del esturión cuchara en una mina de oro
La dedicación de una ni?a
al arte de la ópera de Pekín


