
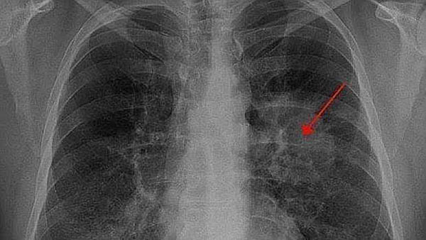
Radiografía de un paciente con cáncer de pulmón - Archivo
Beijing, 16/08/2018 (Pueblo en Línea) – Investigadores chinos del Instituto de Zoología de la Academia de Ciencias china han descubierto 21 proteínas clave que pueden inhibir o estimular el crecimiento de células de cáncer de pulmón, según un estudio publicado en la revista internacional Cancer Letters, noticia de la que se hace eco el diario ABC.
Mediante técnicas de cribado genómicas, los investigadores probaron 1.530 factores de transcripción (FT), y descubrieron que once de ellos eran supresores tumorales que impedían el crecimiento de células cancerígenas, mientras que otros diez tenían el potencial de causarlo.
Los factores de transcripción son proteínas clave ligadas a la secuencia de ADN que controlan la expresión génica y decodifican la información en el genoma humano.
El cáncer de pulmón representa el 20% de todas las muertes por cáncer en el mundo y la amplia mayoría del 80-90% son causadas por el tabaquismo, según la Agencia Internacional de Investigación sobre el Cáncer (IARC).
Sillitas para esperar el autobús,
la última invención en una economía compartida
Se filtra por error el sexto episodio
de ?Juego de Tronos?
Un robot monje aprende a hablar inglés
Se estrena el documental
sobre “mujeres de consuelo” de China
57 universidades chinas
entre las 500 mejores del mundo
Las 10 cadenas hoteleras
más grandes del mundo
?Cuánto paga un residente extranjero
por un alquiler en Beijing?
Un graduado de Tsinghua convierte
la cría del esturión cuchara en una mina de oro
La dedicación de una ni?a
al arte de la ópera de Pekín


